內視鏡軟鏡檢查
2026-02-05
內視鏡介紹
當毛孩出現長期的嘔吐、拉肚子,或是誤食異物時,除了血液檢查與 X 光,您是否聽過「內視鏡檢查」呢?這是一項能大幅降低毛孩痛苦,同時提供精確診斷的高階醫療技術。

什麼是內視鏡軟鏡?
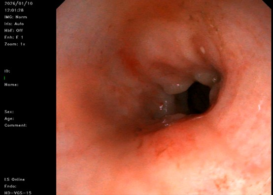
內視鏡是一種柔軟、可彎曲的光纖儀器。獸醫師將其經由毛孩的口腔或肛門伸入體內。透過前端的鏡頭,醫師可以直接在螢幕上看到食道、胃、十二指腸或大腸的真實影像,不再只是憑空猜測。

💡 我們何時需要內視鏡?
1. 異物移除(免除開刀之苦) 這是最常見的用途。當毛孩吞下骨頭、針線、玩具等異物且卡在食道或胃部時,透過內視鏡的專用夾具,可以在不切開腹部的情況下將異物取出。
  • 優點: 無體外傷口、術後疼痛少、恢復期極短(通常當日可出院)、不需戴頭套太久。
2. 慢性消化道疾病採樣(精準診斷) 若毛孩有長期嘔吐、軟便、血便或體重不明減輕,X 光與超音波有時只能看到結構異常(如變厚),卻無法得知「是什麼病」。 透過內視鏡,我們可以直接觀察黏膜狀態(是否有潰瘍、息肉、腫瘤),並進行微創生檢採樣(Biopsy,送交病理檢驗以確診,進而對症下藥。

常見問題 Q&A
  • Q:做內視鏡需要麻醉嗎?
    • A:要的。 為了保護精密的儀器與毛孩的安全(避免亂動造成腸胃穿孔),內視鏡必須在全身氣體麻醉下進行。但因為手術時間通常較傳統開刀短,麻醉風險相對可控。
  • Q:所有異物都能用內視鏡夾嗎?
    • A:不一定。 若異物表面太過光滑、體積過大,或已經進入後段小腸,內視鏡可能無法處理,屆時仍需轉為傳統手術。醫師會在術前進行詳細評估。
  • Q:檢查前需要準備什麼?
    • A 為了確保視野清晰並防止麻醉嘔吐,嚴格禁食禁水(通常需 8-12 小時) 是非常重要的!若是進行大腸鏡,還需配合醫師指示進行清腸準備。
項目 內視鏡夾取術 (軟鏡) 傳統開腹手術 (Laparotomy)
傷口大小 無體外傷口 (經口/肛門進入) 腹部有較長切口
疼痛程度 輕微 明顯,需給予止痛藥
恢復時間 快 (麻醉退後即可進食/回家) 較長 (需住院觀察、拆線)
感染風險 有傷口感染風險
適用範圍 食道、胃、十二指腸前段、大腸 全腹腔臟器皆可
主要限制 異物位置太深或過大無法取出 侵入性大

上消化道內視鏡檢查畫面 : https://www.facebook.com/reel/1389221159213924
慢性胃食道反流造成的噴門潰瘍 胃壁 以及血樣分泌物